
- Porokeratosis is a genodermatosis (autosomal dominant)
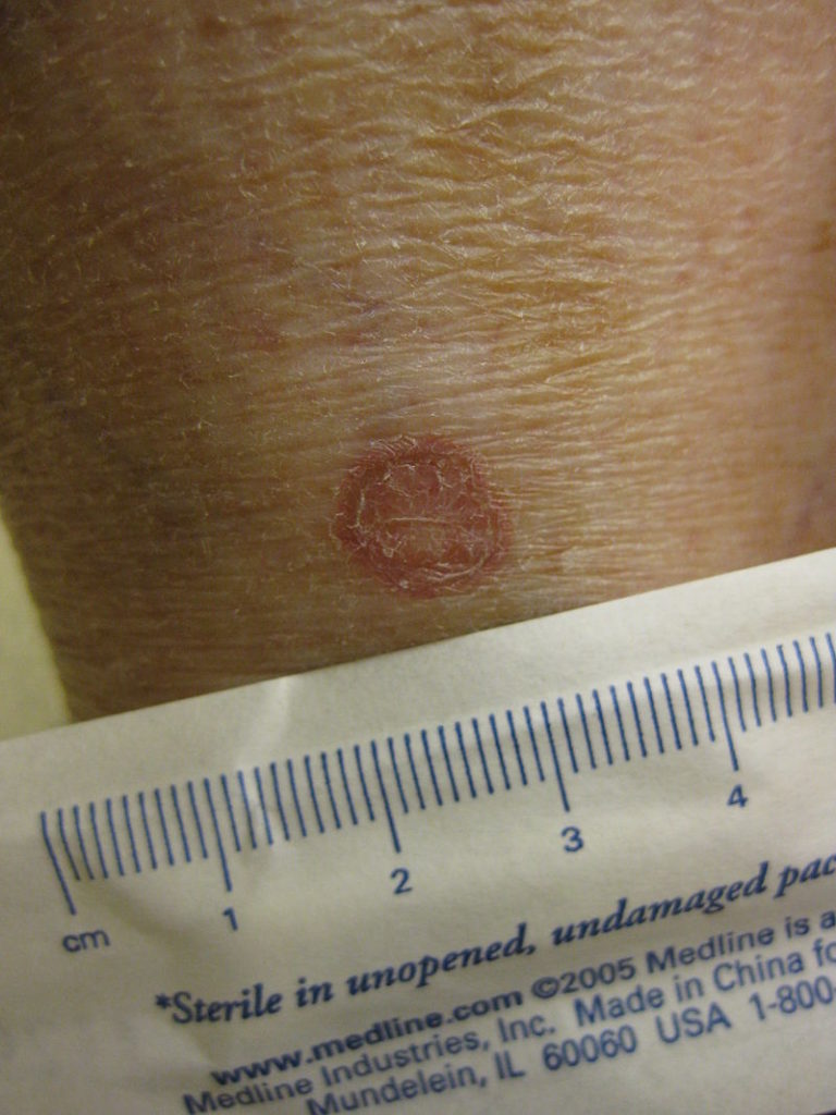
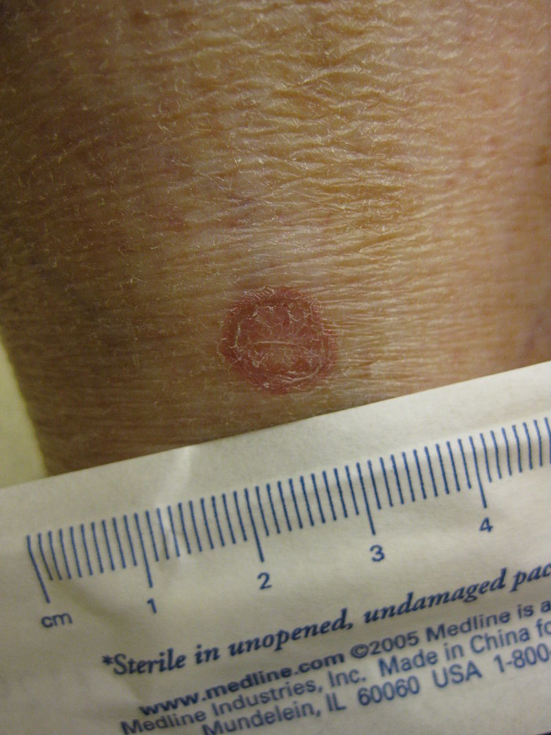
- Porokeratosis is typically seen as a keratotic plaque surrounded by a raised hyperkeratotic border
- Histologically, border corresponds to the cornoid lamella
- Differential diagnosis includes other entities that may have cornoid lamella such as seborrheic keratosis (SK), verruca vulgaris, and squamous cell carcinoma (SCC)
- Six clinical types of porokeratosis exist:
- 1. Plaque-type porokeratosis (“Classic porokeratosis” and “Porokeratosis of Mibelli”) is characterized by skin lesions starting as small, brownish papules that slowly enlarge to form irregular, annular, hyperkeratotic or verrucous plaques. Can grow up to 10 cm or more. Key fact = Squamous cell carcinomas have been reported to develop in Mibelli’s type porokeratosis over partianal areas involving anal mucosa. This was the first report mentioning mucosal malignancy in any form of porokeratosis.
- 2. Disseminated superficial porokeratosis is a more generalized processes and involves mainly the extremities in a bilateral, symmetric fashion. In about half of cases, skin lesions only develop in sun-exposed areas, and this is referred to as disseminated superficial actinic porokeratosis
- 3. Porokeratosis palmaris et plantaris disseminata is characterized by skin lesions that are extremely superficial, small, relatively uniform, and demarcated by a distinct peripheral ridge of no more than a single millimeter (mm) in height.
- 4. Linear porokeratosis is characterized clinically skin lesions are identical to those of classic porokeratosis, including lichenoid papules, annular lesions, hyperkeratotic plaques with central atrophy, and the characteristic peripheral ridge.
- 5. Punctate porokeratosis is a skin condition associated with either classic porokeratosis or linear porokeratosis types of porokeratosis, and is characterized by multiple, minute, and discrete punctate, hyperkeratotic, seed-like skin lesions surrounded by a thin, raised margin on the palms and soles.
- 6. Porokeratosis plantaris discreta is a skin condition that occurs in adults, with a 4:1 female preponderance, characterized by a sharply marginated, rubbery, wide-based papules. It is also known as “Steinberg’s lesion”.







